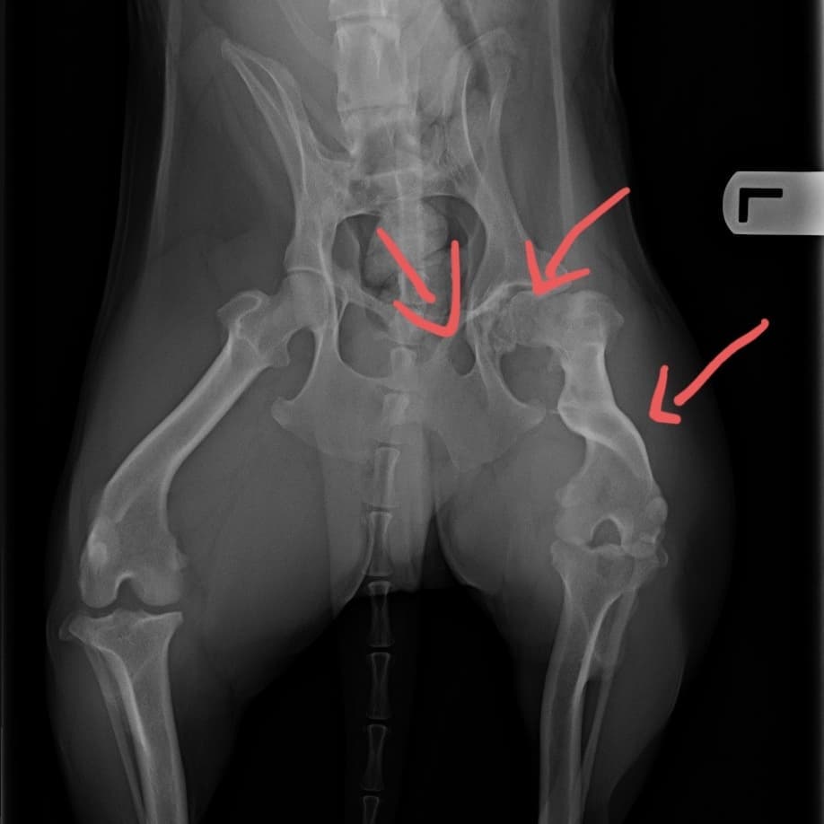
This is Schroeder. He's the sweetest little man. He had a vet visit yesterday. From the first day he was here, I could tell that he had an unusual gait (he walks funny) and so when he went to the vet yesterday for his checkup, vaccines, microchip etc, I requested x-rays.
You can see he's had a pretty bad injury. He was probably hit by a car. He had a pelvic fracture and a fractured femur :( all of which healed up on its own.
Because he had to compensate for the fractures, he also has an odd gait in his front as well. This is an old injury, we don't know when it happened. He's about 4 years old as per the vet, and his teeth are pretty wrecked. He also needs a dental at some point.
For a guy that's been through so much, Schroeder is an amazing resilient little guy who has an such a sweet personality.
Please consider making a donation today, not only to help Schroeder, but to help his 32 friends as well!
Your donations are tax deductible!! Link in Bio
#rescuedogs #rescuedogsofinstagram๐พ #dogs #dogsofinstagram #hoardingdogs #hoardingsurvivors #hoardinghurts #cutedogs #cutedogsofinstagram #schroeder #donate #support #love #bekind #foster #fosteringsaveslives #adopt #dhanamettarescuesociety #lowermainlandhumanesociety
This is beautiful Charlie. He's not a big dog, in fact he's probably only about 14lbs. He's looking for a foster home until his neuter appointment, and until he's adopted!
Charlie is touch sensitive (so no children please!)
He likes to potty outside but he does tend to mark inside, so we can provide belly bands until he fully understands that he has to pee outside every time..
He walks well on leash but is Leary of strangers approaching him. A fenced escape proof yard would be wonderful but he could do well in an apartment setting as well. We'd like to avoid busy, high traffic areas like Down town Vancouver and are looking for a quieter neighborhood.
If you think you can provide Charlie a safe foster home for a month or 2, let us know.
Charlie's vet visit showed a raging ear infection in both ears, hot spots (likely flea bite dermatitis). His teeth aren't bad and he doesn't require any immediate dental work. He does need to be neutered. We did not microchip Charlie at this visit because he was so so stressed, so we will wait until he is under for his neuter to do that.
Please keep chipping in towards the vet bill for all these deserving dogs. This is going to be a very costly rescue mission.
#rescue #rescuedogs #dogs #dogsofinstagram #rescuedogsofinstagram๐พ #foster #fosteringsaveslives #adopt #hoardingdogs #hoardingsurvivors #love #bekind #donate #share #care #dhanamettarescuesociety #lowermainlandhumanesociety
This is Izzy and Zuli. They are both super sweet dogs.
Zuli is a boy and Izzy is the girl with the messed up leg.
They came in with the 33 dogs rescue from a boarding situation.
They are very friendly as you can see, a little handshy and Leary of strangers at first but they warm up very quickly.
They are good on leash as long as they are wearing a 3 point harness connected to a martingale to prevent escaping if something triggers a fear in them
This couple is very bonded and we'd like to find a foster home for them together until we can figure out what to do with Izzy's leg.
Waiting for a consult with the Ortho specialists at Canada West..
Please open your heart and home to these 2 wonderful dogs. Fostering saves lives! And fostering is only temporary!
If you can share some change to help us get all these dogs the vet care they need, you donations are tax deductible and greatly appreciated.
Link in bio.
#rescuedogs #rescuedogsofinstagram #dogsofinstagram #dogs #cutedogs #cute #donate #adopt #foster #fosteringsaveslives #bekind #love #hoardersurvivor #dhanamettarescuesociety #lowermainlandhumanesociety
We've been so busy and working hard everyday taking care of 33 hoarding dogs that arrived last week. I'm grateful for the emergency fosters that stepped up to help right away. And all the other wonderful folk who are opening their hearts and homes to foster some really scared babies. They deserve to live their lives without any more suffering.
This rescue mission is going to cost LMHS quite a fortune. 33 dogs who all need to be vetted, vaccinated, dewormed, flea treated. Many are older and require dental procedures, blood work, urinalysis etc. There are some skin condition dogs and ear infections.
Please help us get all these babies everything they need to live a happy life from here on out.
Your donations are tax deductible and can be made through the link in our bio.
Thank you so much
#rescuemission #hoardinghurts #rescuedogs #rescue #rescuedogsofinstagram #dogs #dogsofinstagram #fosteringsaveslives #foster #dhanamettarescuesociety #lowermainlandhumanesociety #donate #support #bekind
We did a huge intake this week of 40 dogs...33 from a hoarding situation and 7 from a byb situation. We are in need of reliable, fearful dog experienced foster homes with fully fenced, escape proof yards. No apartments unless you have a ground floor with access to a small fenced yard.
Adult homes only.
These dogs have lived without access to leash walks so need to be re-trained to walk on a leash in a safe enclosed area, otherwise they will bolt. Some of them are very friendly but need a refresher on what life used to be before they ended up in a hoarding situation. Most are scared and do not fully trust yet, but they will absolutely come out of their shell in quiet, calm foster homes where they can receive one on one attention ..
Not all the dog's photos are posted here.
Please save a life by fostering one of these deserving dogs. Please don't ask if there's a certain breed to foster. Just help any of them because they all need help. Send an email to contact.lmhs@gmail.com to inquire.
Fostering is temporary, you help them become more adoptable. You provide love, training, treats. We provide the vetting and food. We do need fosters to transport to vet Appointments if able..
This 40 dog save is going to cost us a fortune on vet bills, if you can't foster, please consider making a donation towards their care..
Your donations are tax deductible
Link on Bio.
#hoarder #hoardingdogs #savealife #fosteringsaveslives #foster #rescue #love #compassion #rescuedogs #rescuedogsofinstagram๐พ
#dogs #dogsofinstagram #donate #support #dhanamettarescuesociety
#lowermainlandhumanesociety
11/26/2021
Today is Black Friday, please consider dropping a fiver into the pot to help give this 33 wonderful dogs a new life.
$5 FIVE DOLLAR FRIDAY
Challenge your friends, skip that Starbucks
While you save money today, give just $5 to a great cause.
Link to donate in bio.
Thanks everyone, keep caring and sharing!
#hoardingdogs #hoardingsurvivors #dogs #love #rescued #saved #dogsofinstagram #rescuedogs #rescuedogsofinstagram๐พ #donate #support #foster #fosteringsaveslives #adopt #dhanamettarescuesociety #lowermainlandhumanesociety
11/26/2021
Testing out the wheels so we know how to adjust them.. and there's my Bug giving Merkel some moral support!
#wheeliedogsofinstagram #wheeliedog #bug #merkel #specialneedsdogs #specialneedsdogsofinstagram #rescuedogs #rescuedogsofinstagram๐พ #foster #fosteringsaveslives #love #adopt #bekind #doubleamputee #tripawbug #dhanamettarescuesociety #lowermainlandhumanesociety
11/26/2021
Merkel got his fitting today! Still need to make some some adjustments. Video to come.
#merkel #specialneedsdogsofinstagram #specialneedsdogs #doubleamputee #straydog #shotintheback #saved #rescue #rescued #rescuedogs #rescuedogsofinstagram๐พ #love #wheeliedog #wheeliedogsofinstagram #dhanamettarescuesociety #lowermainlandhumanesociety
11/23/2021
This is Schroeder. He's the sweetest little man. He had a vet visit yesterday. From the first day he was here, I could tell that he had an unusual gait (he walks funny) and so when he went to the vet yesterday for his checkup, vaccines, microchip etc, I requested x-rays.
You can see he's had a pretty bad injury. He was probably hit by a car. He had a pelvic fracture and a fractured femur :( all of which healed up on its own.
Because he had to compensate for the fractures, he also has an odd gait in his front as well. This is an old injury, we don't know when it happened. He's about 4 years old as per the vet, and his teeth are pretty wrecked. He also needs a dental at some point.
For a guy that's been through so much, Schroeder is an amazing resilient little guy who has an such a sweet personality.
Please consider making a donation today, not only to help Schroeder, but to help his 32 friends as well!
Your donations are tax deductible!! Link in Bio
#rescuedogs #rescuedogsofinstagram๐พ #dogs #dogsofinstagram #hoardingdogs #hoardingsurvivors #hoardinghurts #cutedogs #cutedogsofinstagram #schroeder #donate #support #love #bekind #foster #fosteringsaveslives #adopt #dhanamettarescuesociety #lowermainlandhumanesociety
11/22/2021
This is beautiful Charlie. He's not a big dog, in fact he's probably only about 14lbs. He's looking for a foster home until his neuter appointment, and until he's adopted!
Charlie is touch sensitive (so no children please!)
He likes to potty outside but he does tend to mark inside, so we can provide belly bands until he fully understands that he has to pee outside every time..
He walks well on leash but is Leary of strangers approaching him. A fenced escape proof yard would be wonderful but he could do well in an apartment setting as well. We'd like to avoid busy, high traffic areas like Down town Vancouver and are looking for a quieter neighborhood.
If you think you can provide Charlie a safe foster home for a month or 2, let us know.
Charlie's vet visit showed a raging ear infection in both ears, hot spots (likely flea bite dermatitis). His teeth aren't bad and he doesn't require any immediate dental work. He does need to be neutered. We did not microchip Charlie at this visit because he was so so stressed, so we will wait until he is under for his neuter to do that.
Please keep chipping in towards the vet bill for all these deserving dogs. This is going to be a very costly rescue mission.
#rescue #rescuedogs #dogs #dogsofinstagram #rescuedogsofinstagram๐พ #foster #fosteringsaveslives #adopt #hoardingdogs #hoardingsurvivors #love #bekind #donate #share #care #dhanamettarescuesociety #lowermainlandhumanesociety
11/22/2021
This is Izzy and Zuli. They are both super sweet dogs.
Zuli is a boy and Izzy is the girl with the messed up leg.
They came in with the 33 dogs rescue from a boarding situation.
They are very friendly as you can see, a little handshy and Leary of strangers at first but they warm up very quickly.
They are good on leash as long as they are wearing a 3 point harness connected to a martingale to prevent escaping if something triggers a fear in them
This couple is very bonded and we'd like to find a foster home for them together until we can figure out what to do with Izzy's leg.
Waiting for a consult with the Ortho specialists at Canada West..
Please open your heart and home to these 2 wonderful dogs. Fostering saves lives! And fostering is only temporary!
If you can share some change to help us get all these dogs the vet care they need, you donations are tax deductible and greatly appreciated.
Link in bio.
#rescuedogs #rescuedogsofinstagram #dogsofinstagram #dogs #cutedogs #cute #donate #adopt #foster #fosteringsaveslives #bekind #love #hoardersurvivor #dhanamettarescuesociety #lowermainlandhumanesociety
11/19/2021
3 broken boys and a girl.
Having a great time!
Rex is the big red guy who came from the same place as the other 32 dogs. He's semi paralyzed and incontinent. He's looking for a big hearted foster home. He's great with dogs as you can see and he's good with cats that aren't nervous of dogs.
Merkel is doing great! His wheels are almost ready. He's wearing a protective pair of undies so he can play with his friends without hurting his stumps. He like a few more pairs of anyone is willing to purchase some for him! Pm me
DJ has been here for a few years now. He's the black guy. He was hit in the head when he was a puppy, and his brain was exposed. He's also a distemper survivor and has a leg that was broken at one time but never fixed.
Frieda is the only girl who was adopted sight unseen from Morocco and his humans didn't give her enough time to decompress.
#specialneedsdogsofinstagram #specialneedsdogs #rescuedogs #rescuedogsofinstagram๐พ #dogrescue #dogs #dogsofinstagram #playtime #havingfun #foster #fosteringsaveslives #adopt #bekind #compassion #donate #support #love #dhanamettarescuesociety #lowermainlandhumanesociety
11/17/2021
This sweet, terrified boy came in with the group of 33 dogs. Both his front legs have severe deformities. The minute I saw him, I didn't hesitate to take him. Even though there were 15 dogs in the truck, and no more room, except on the floor of the passenger side. I laid down some blankets and towels and he rode home with me. No way I'd ever leave him behind. He may be special needs, in my eyes he's super special.
I'd like to give him a cool name. They called him Topper. Maybe he will always be topper. But maybe there's something better that he can start his new life with.
Please consider making a nominal donation to help us care for all these deserving dogs. Link in bio. Thank you!
#rescue #rescuedogs #specialneedsdogsofinstagram #specialneedsdogs #deformity #doesntmatter #rescuedogsofinstagram๐พ #love #support #donate #bekind #dogs #dogsofinstagram #survivor #dhanamettarescuesociety #lowermainlandhumanesociety
11/16/2021
We've been so busy and working hard everyday taking care of 33 hoarding dogs that arrived last week. I'm grateful for the emergency fosters that stepped up to help right away. And all the other wonderful folk who are opening their hearts and homes to foster some really scared babies. They deserve to live their lives without any more suffering.
This rescue mission is going to cost LMHS quite a fortune. 33 dogs who all need to be vetted, vaccinated, dewormed, flea treated. Many are older and require dental procedures, blood work, urinalysis etc. There are some skin condition dogs and ear infections.
Please help us get all these babies everything they need to live a happy life from here on out.
Your donations are tax deductible and can be made through the link in our bio.
Thank you so much
#rescuemission #hoardinghurts #rescuedogs #rescue #rescuedogsofinstagram #dogs #dogsofinstagram #fosteringsaveslives #foster #dhanamettarescuesociety #lowermainlandhumanesociety #donate #support #bekind
11/13/2021
We did a huge intake this week of 40 dogs...33 from a hoarding situation and 7 from a byb situation. We are in need of reliable, fearful dog experienced foster homes with fully fenced, escape proof yards. No apartments unless you have a ground floor with access to a small fenced yard.
Adult homes only.
These dogs have lived without access to leash walks so need to be re-trained to walk on a leash in a safe enclosed area, otherwise they will bolt. Some of them are very friendly but need a refresher on what life used to be before they ended up in a hoarding situation. Most are scared and do not fully trust yet, but they will absolutely come out of their shell in quiet, calm foster homes where they can receive one on one attention ..
Not all the dog's photos are posted here.
Please save a life by fostering one of these deserving dogs. Please don't ask if there's a certain breed to foster. Just help any of them because they all need help. Send an email to contact.lmhs@gmail.com to inquire.
Fostering is temporary, you help them become more adoptable. You provide love, training, treats. We provide the vetting and food. We do need fosters to transport to vet Appointments if able..
This 40 dog save is going to cost us a fortune on vet bills, if you can't foster, please consider making a donation towards their care..
Your donations are tax deductible
Link on Bio.
#hoarder #hoardingdogs #savealife #fosteringsaveslives #foster #rescue #love #compassion #rescuedogs #rescuedogsofinstagram๐พ
#dogs #dogsofinstagram #donate #support #dhanamettarescuesociety
#lowermainlandhumanesociety
11/11/2021
Merkels wheels are almost ready!
#wheeliedog #specialneedsdogsofinstagram #specialneedsdogs #wheels #customwheels #dogs #rescuedogs #love #bekind #support #foster #adopt #dhanamettarescuesociety #lowermainlandhumanesociety
11/11/2021
We've had a HUGE influx of dogs this week.. in total we have taken in 22 dogs from not so great situations..
These photos are only 3 of the 22 dog intake this week.
Please stay tooned while we assess, vet and update.
Messages inquiring about adopting will not be answered at this time..
Updates will be posted.
#hoarding #breeding #rescue #spayandneuteryourpets #dogs #foster #fosteringsaveslives #openyourheartandhome #bekind #love #rescuedogs #rescuedogsofinstagram
#lowermainlandhumanesociety #dhanamettarescuesociety